Porcelain Veneers: Safe, Predictable Smile Transformations in Kingston
Dreaming of the perfect smile? Porcelain veneers are widely considered the ultimate choice in aesthetic dentistry, offering a truly transformative solution. Not only do veneers provide flawless, natural-looking results by correcting chips, gaps, and misalignment, but they are also exceptionally durable and long-lasting. Unlike many cosmetic procedures, porcelain is highly resistant to staining, meaning your beautiful, bright smile is easy to maintain and keeps its radiance for years to come, making them a worthwhile investment in your confidence.
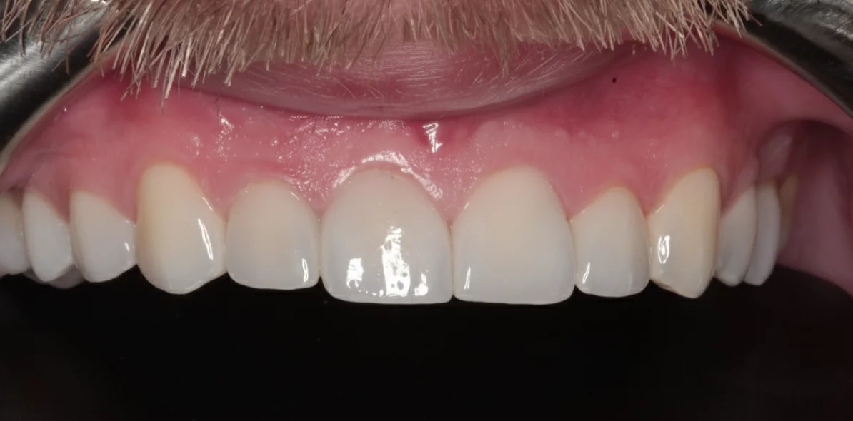
What Exactly Are Dental Veneers?
Porcelain veneers are ultra-thin, custom-made shells of high-quality, tooth-coloured material—typically ceramic—that are meticulously bonded to the front surface of your teeth. 
Our Commitment to Healthy Aesthetics
At Harmoni Dental, we believe a beautiful smile should never compromise your long-term dental health. The rise of fast, heavily destructive dentistry—often referred to as "Turkey Teeth"—involves aggressively drilling down natural tooth structure, leading to sensitivity, future root canal issues, and costly maintenance. We vehemently reject this approach. Our philosophy, driven by decades of experience, is centred on safe, natural, and healthy aesthetics.
The Digital Design Advantage: Predictable Smiles
We eliminate guesswork from your smile transformation using the latest digital technology.
1. Digital Wax Ups
Before any physical work begins, we use Digital Wax Ups to plan your perfect smile. This involves taking detailed 3D scans and photographs to create a digital blueprint of your desired outcome.
2. Virtual Outcome & Approval
You will see a precise virtual outcome of your new smile. We use temporary mock-ups that sit over your existing teeth, allowing you to try on and approve the shape, length, and shade before we touch any tooth structure. This ensures your "dream smile" is provided safely and as predictably as possible, giving you total confidence in the final result.
3. Signature Quality and Materials
Our Signature Veneer Range utilises materials and protocols perfected through our experience with high-end aesthetic cases on Harley Street. Every veneer is handcrafted by master We are dedicated to providing veneers that enhance your smile beautifully while prioritising the health and longevity of your natural teeth.
